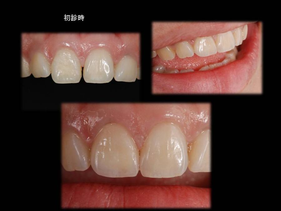
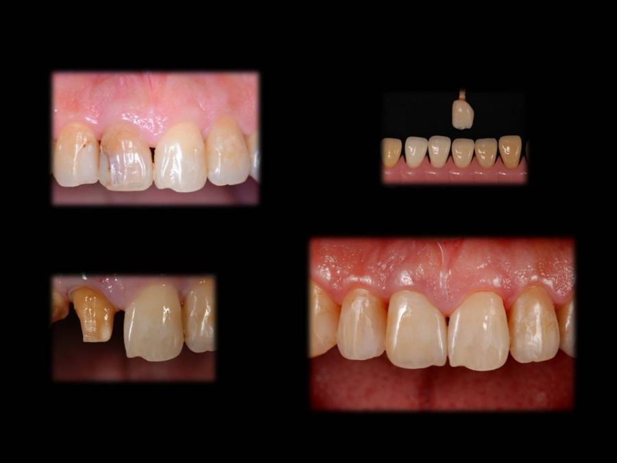
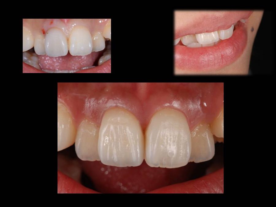
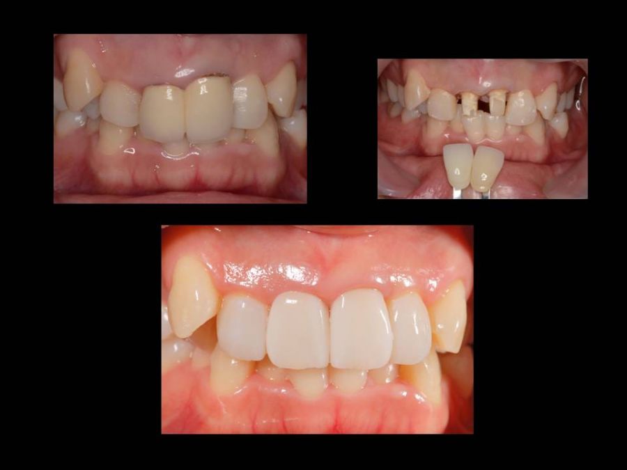
CASE / 症例紹介


ジルコニア








e.max
e.maxはプレスセラミックの代名詞であった「エンプレス」の後継品として登場しました。曲げ強度は400MPaあり、前歯部症例では問題なく使用できます。また、作製法もステイン法(フルカウンツアーでキャストされたセラミックにステインする技法)から、レイヤリング法(コーピングのみキャストしてその上にポーセレンパウダーを築盛する技法)まであり、様々な症例に幅広く対応できます。変色支台歯(メタルコア含む)にも対応できます。臼歯部も単冠では充分な強度があります。
※ブリッジは3本まで、ただし大臼歯を含むブリッジには使用できません。


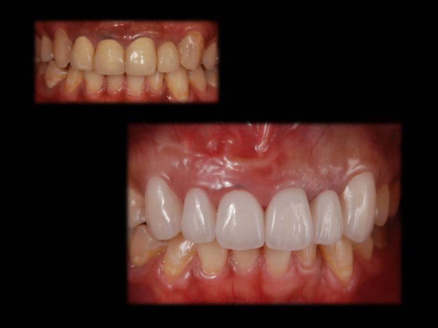
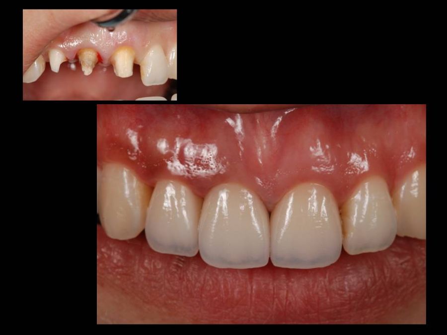
ラミネートベニヤ
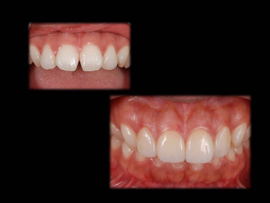
患者は23歳女性、正中の空隙を主訴に来院されました。診断用ワクシングにてパーシャルベニヤ・正中へのCR・フルベニヤの3パターンをそれぞれの利点、欠点を説明した上で提案しましたが、患者様の要望にてフルベニヤにて対応しました。セット後の歯肉の状態も良好で、患者様にも大変喜んでいただけました。「誰からも気づかれない」とちょっと寂しげでしたが、技工士にとっては最高の褒め言葉です。
> 久保デンタルクリニック・坂中幸誠先生提供


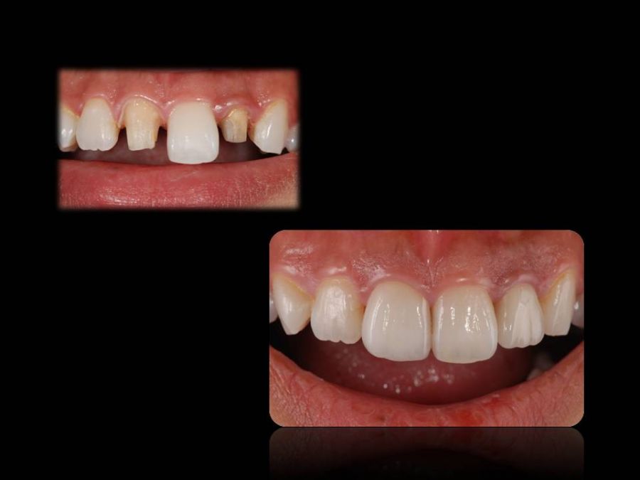
e.max ノンプレップベニヤ 01
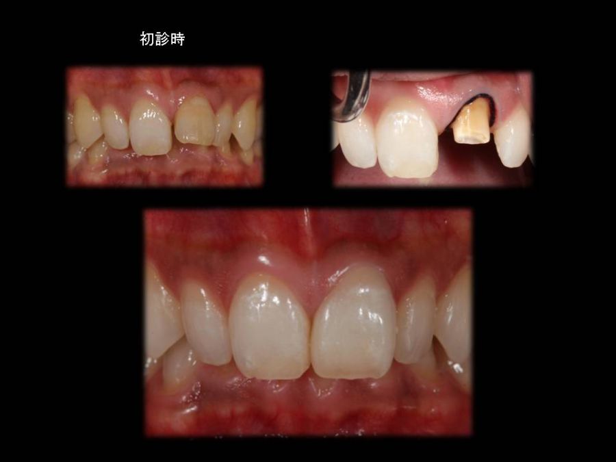
患者は24歳女性。自転車で転倒し右上1を破折し来院された。元々右上1が1本だけ飛び出したような排列であり、患者自身その状態に強くコンプレックスを感じていたので、この機会に綺麗にしたいという事であった。歯科医による口腔内テックの形態には嫌悪感を示し、両側同じ幅、同じ長さでの作製を希望されたが、左1を削る事には難色を示された。シェードテイク時によく歯冠を観察すると、破折線が確認できた。そこで右にはオールセラミッククラウン、そして両側の出具合を幅を整えると同時に、破折に対する補強の意味も込めてノンプレップベニアにてアプローチする事にした。こちらも妥協的なプランではあったが、最小限の侵襲で患者の満足を得る事ができた。


e.max ノンプレップベニヤ 02
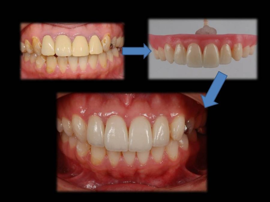
患者は27歳女性。前歯部の審美障害を主訴に来院された。他院にて装着された両側中切歯のメタルセラミックに強い嫌悪感を感じており、初診時の状態を観察すると・歯頚ラインの不揃い・マージンラインの黒ずみ ・色調の不調和 ・形態の不調和 ・無意味な連結などの問題点が確認できた。本来ならば矯正や歯肉形成術、もしくはプロビジョナルレストレーションにて歯冠・歯肉の形態を煮詰めた上で最終補綴を作製したいところだが、目前に患者自身の結婚式を控えており、何とか1回ですぐにきれいにして欲しいというのが患者の強い要望であった。両側3は補綴せずに、2~2のみをとにかく白く綺麗に並べてほしいということだったので、両側1の歯頚ラインの不揃いはクラウンのカウンツアーで整え、2~2の唇舌的なギャップは両側2へのノンプレップベニアにて整える事にした。右上1の歯頚ラインを理想的な所まで「押し上げる」為、石膏模型の歯肉部を調整し歯頚部にハーフポンティック形態を付与した。妥協的な補綴プランではあったが、1回で患者の満足を得る事が出来た。


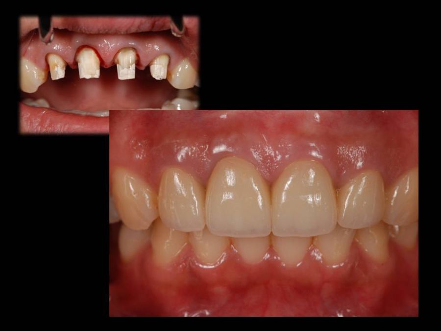
6前歯
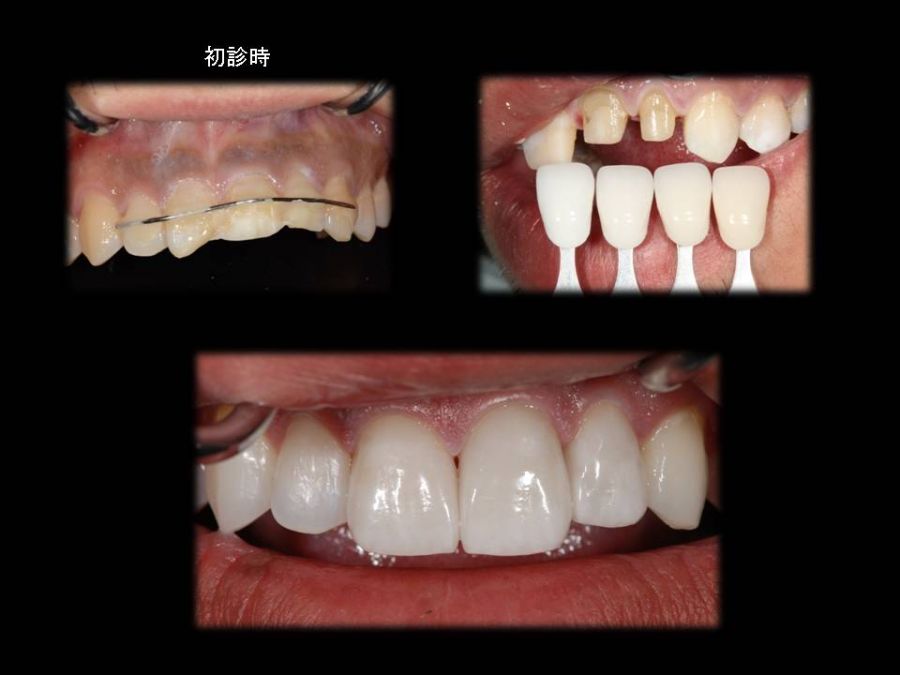
患者は26歳の女性.上顎2~2の審美改善を主訴に来院した.治療歴として,矯正治療を受けており,上下44が欠損していた.チェアサイドより受け取ったスタディモデルと口腔内写真を観察したところ,適切な犬歯誘導がなされていないことがわかった.両側犬歯を含めた診断用ワックスアップを行って患者に見せたところ,治療計画への了解が得られたので,チェアサイドで支台歯形成を行った.なお、犬歯の舌側はアディショナル(追加的)な補綴処置で問題ないと判断しMI(Minimal Intervention;最小限の侵襲)の概念に基づいてラミネートベニアに近い最小限のクリアランスで築盛を行うこと、そのため舌側の支台歯形成は最小限度でよいことを担当歯科医師に伝達した.






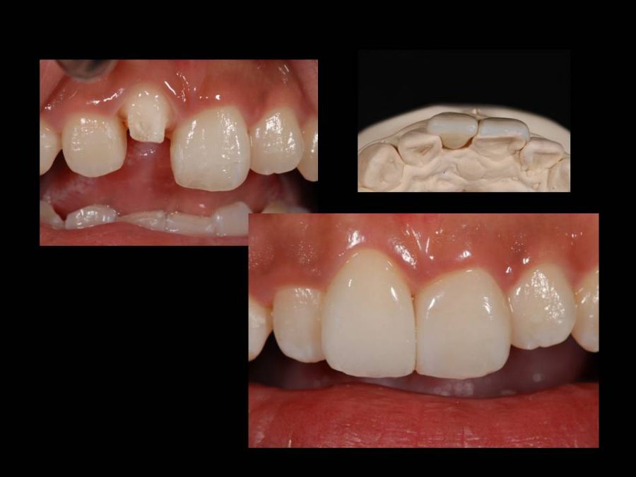
右上1
右上1番の破折を主訴に来院。歯間離開も同時に理療を希望されたので、クラウン作製と同時にドクターにCR処置をして頂きました。技工士・歯科医共に難易度の高いケースでしたが、患者様の満足を得る事が出来ました。