ニュース新着情報活動報告一覧メディア掲載一覧ラザロの仕事ラザロの強み納品までの流れ製品紹介症例紹介設備紹介IOSIOS お問い合せフォームIOS 登録方法企業情報代表挨拶会社概要施設紹介アクセスマップ歯科医院関係者様へメッセージセミナーサポートダウンロードリクルートラザロレポートAmorphous セミナー案内 CONTACT >
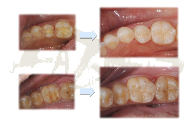
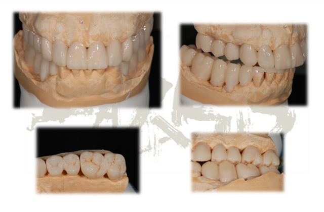
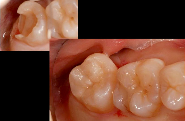
05 / その他 診断用ワクシング ZOOM プロビジョナル01 ZOOM インレー・オンレー ZOOM エステティックデンチャー・ジルコニア ZOOM プロビジョナル02 ZOOM セラミックインレー ZOOM 症例紹介オールセラミックメタルボンドハイブリッドインプラントその他