株式会社LAZARUS(ラザロ) - 大阪市中央区本町の歯科技工所株式会社LAZARUS(ラザロ) - 大阪市中央区本町の歯科技工所

CASE / 症例紹介

株式会社ラザロ 症例紹介 img株式会社ラザロ 症例紹介 img

02 / メタルボンド

メタルボンド_上下_第一大臼歯 imgメタルボンド_上下_第一大臼歯 img

上下MB大臼歯

オクルーザルストップ(クロージャーストップ・イコライザー)を意識して作製。咬合の安定を図るには咬頭の斜面でオクルーザルポイントを求める必要があります。

フルマウスメタルボンド imgフルマウスメタルボンド img

フルマウスメタルボンド

フルマウス症例を一気に作製する場合は、確かなマウント技術が必要になります。このケースは自費と保険の混合症例ですが、こういう場合はもちろん保険技工もお受けさせて頂きます。

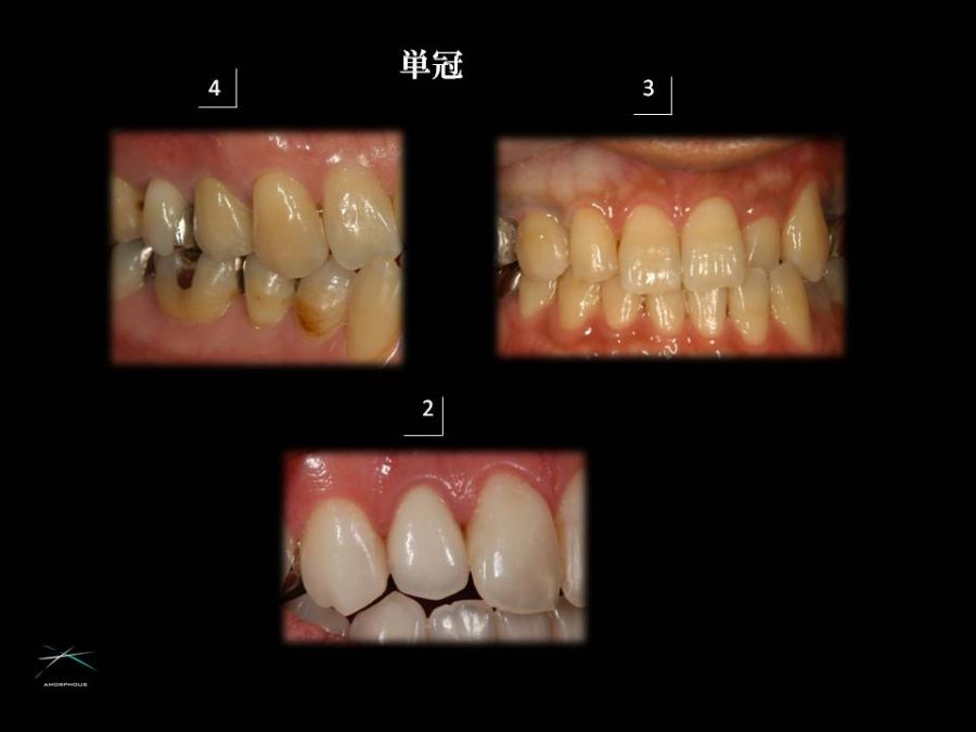
メタルボンドMB単冠01 imgメタルボンドMB単冠01 img

MB単冠01

メタルボンド MB単冠02 imgメタルボンド MB単冠02 img

MB単冠02

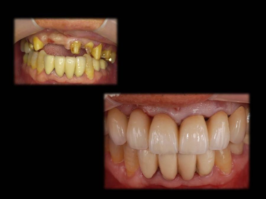
メタルボンド フルマウスMB imgメタルボンド フルマウスMB img

フルマウスMB