株式会社LAZARUS(ラザロ) - 大阪市中央区本町の歯科技工所株式会社LAZARUS(ラザロ) - 大阪市中央区本町の歯科技工所

CASE / 症例紹介

株式会社ラザロ 症例紹介 img株式会社ラザロ 症例紹介 img

04 / インプラント

インプラント ボーンアンカードブリッジ imgインプラント ボーンアンカードブリッジ img

ボーンアンカードブリッジ

既成の人工歯&ハイブリットガムで完成させました。コストを抑えた上に審美的な仕上がりを実現できました。

インプラント imgインプラント img

インプラント

カスタムアバットメントの上に中間構造体を作製後、メンテナンスを考慮して単冠のメタルボンド+ハイブリットガムにて完成させました。

カスタムアバットメント imgカスタムアバットメント img

カスタムアバットメント

多数歯の場合はもちろん、単冠症例でも必ずミリングマシーンを使用しています。ミリングをすることによってフリーハンドでは困難な平衡性とリテンションを得ることができます。軸面はご要望によってサンドブラスト処理することもあります。

AGC術者可撤式ブリッジ imgAGC術者可撤式ブリッジ img

AGC術者可撤式ブリッジ

AGCガルバノシステムを使用した、メンテナンスに優れた補綴システムです。セメントを使用せず、外す時はリムーバーで外すことができますので、他のシステムのような撤去時のストレスが軽減されます。

インプラント ボーンアンカードブリッジ imgインプラント ボーンアンカードブリッジ img

上下顎 AGC 術者可撤式インプラントブリッジ

プロビジョナルで十分形態や咬合を煮詰めることで、調整のない最終補綴物作製が可能となります。

インプラント ボーンアンカードブリッジ imgインプラント ボーンアンカードブリッジ img

上顎 AGC 術者可撤式インプラントブリッジ下顎スクリューリテイン

このような全顎的な補綴装置は、一つ一つの行程を確実に行うことが重要です。

スクリューリテイン・インプラントブリッジ imgスクリューリテイン・インプラントブリッジ img

スクリューリテイン・インプラントブリッジ

スターゲイトシステムにてフルブリッジ作製。このようなケースだと、インプラント印象の精密さが命なので、右下のようなメタルフレームにて精度を確保します。

インプラント ボーンアンカードブリッジ imgインプラント ボーンアンカードブリッジ img

スクリューリテインフルジルコニア

歯肉部はステインで仕上げています。非常にシンプルかつ審美的な歯肉再現が可能となりました。

陽極酸化処理陽極酸化処理

陽極酸化処理

チタンアバットメントに陽極酸化処理をしてゴールド色にすることにより、オールセラミッククラウンが暗くなることを防ぎます。また、ゴールド色には歯肉を明るく見せる効果もあります。

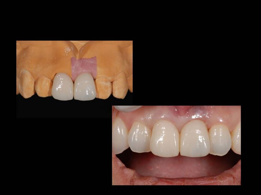
ジルコニアアバットメント・e.max imgジルコニアアバットメント・e.max img

ジルコニアアバットメント・e.max

スクリューリテインプロビジョナル imgスクリューリテインプロビジョナル img

スクリューリテインプロビジョナル

ジルコニアアバット&ジルコニアクラウン imgジルコニアアバット&ジルコニアクラウン img

ジルコニアアバット&ジルコニアクラウン

インプラントプロビジョナル01 imgインプラントプロビジョナル01 img

インプラントプロビジョナル01

インプラントプロビジョナル02 imgインプラントプロビジョナル02 img

インプラントプロビジョナル02

術者可撤式プロビジョナル img術者可撤式プロビジョナル img

術者可撤式プロビジョナル

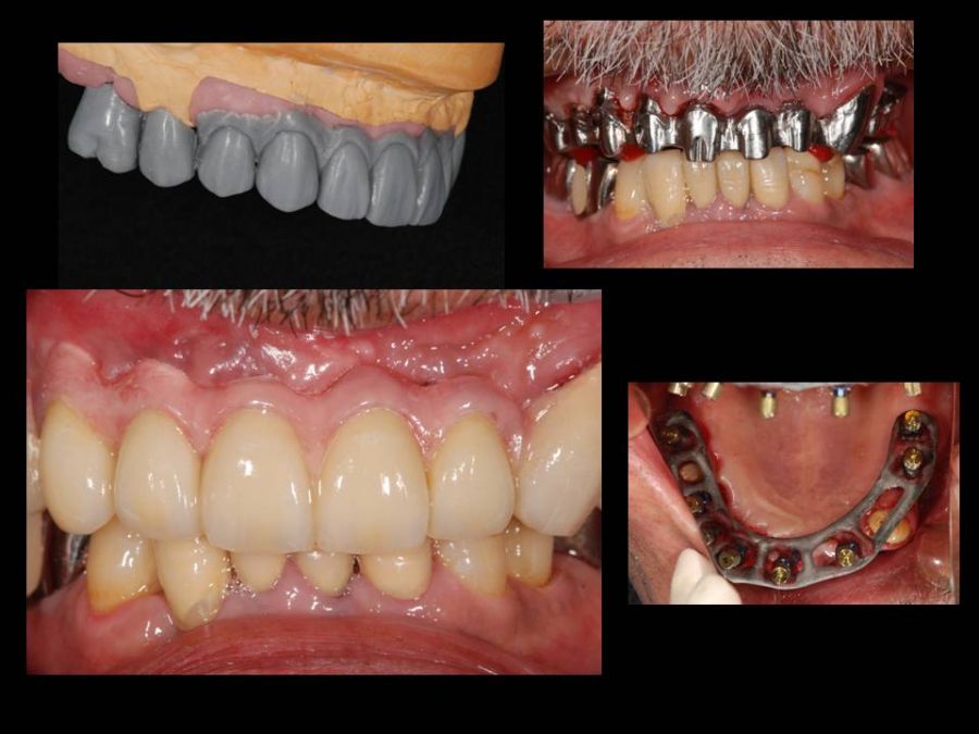
インプラントブリッジ imgインプラントブリッジ img

インプラントブリッジ

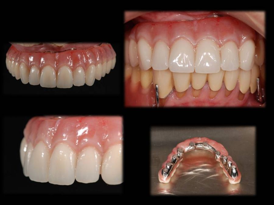
フルインプラントブリッジ imgフルインプラントブリッジ img

フルインプラントブリッジ

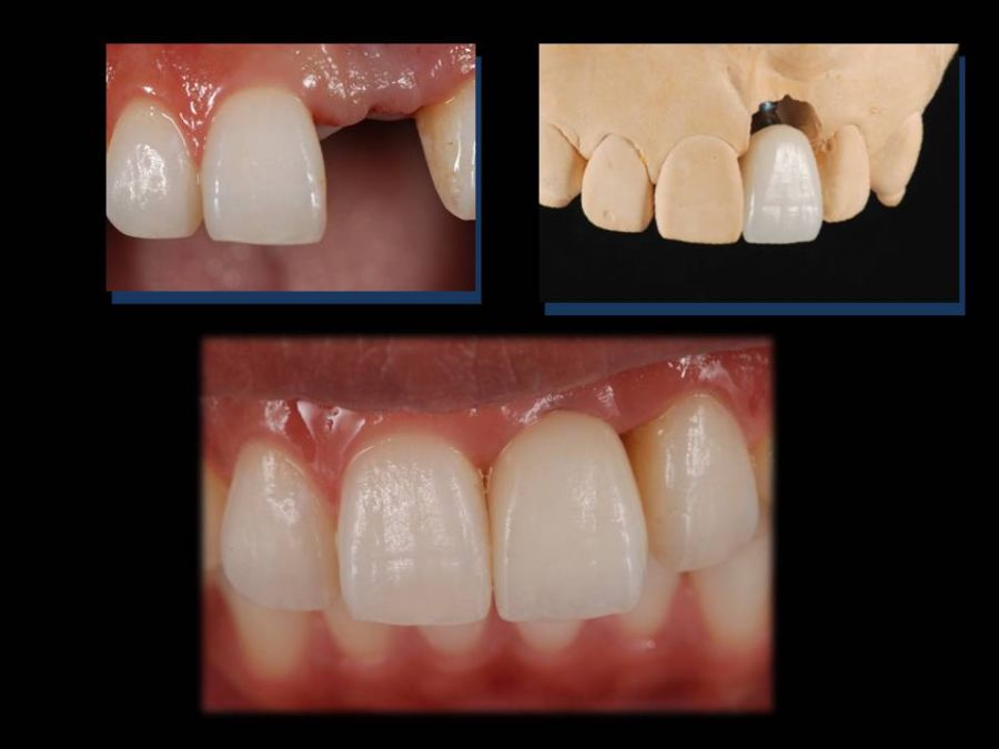
左上1 img左上1 img

左上1